close

5/23
下午騎著摩托車帶阿波羅回診
一進醫院阿波羅馬上回頭用嘴巴把門頂開要出去
等醫生的時候拿出最愛的揪揪球
邊玩還一邊注意走廊的另一頭有沒有醫生護士出來
一有人出來就躲遠遠

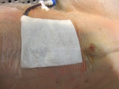
今天拿掉了血管注射的針管
改用口服抗生素(希望別再吐)
拿了三天的口服藥跟針劑
三天後再回診



食慾仍然不好
連水煮雞肉都沒胃口吃

注射完皮下,阿波羅都會很顯得疲倦懶洋洋....很不舒服吧



老是尿到傷口泡在尿裡面
每天都得重新消毒再包紮




因為傷口一直都會有滲出液.所以藥師建議我裡面放一塊紗布再貼人工皮


5/23的數值
BUN 36.9
Creatinine 1.3
GPT109
ALKPHOS 337
Total-bili 6.1

WBC 24.9
RBC 6.40
HGB 13.9
PCV 40.2
MCV 62.8
MCH 21.7
MCHC 34.5
PLT 560

一切都在進步當中
繼續進步下去,下週可望麻醉移除洗腎的管子嘍

全站熱搜
創作者介紹
創作者 lucamami 的頭像
lucamami

狗醫生LUCA與阿波羅日記

lucamami 發表在 痞客邦 留言(2) 人氣()